뼈이식 수술

임플란트를 고정하기 위해서는

치조골의 상태와 양이 매우 중요합니다. 

치료 부위에 임플란트를 고정할 뼈의 양이 부족할 경우 

뼈를 이식하여 임플란트를 단단하게 고정 및 식립할 수 있습니다.


푸르고바이오로직스

천연 골이식재 THE Graft

✔ 치주질환이 있는 경우

✔ 노화로 치조골 상태가 나빠진 경우

✔ 오랜 치아 상실로 치조골이 흡수된 경우

✔ 치조골의 상태와 양이 좋지 않은 경우

뼈이식이 필요한 경우

뼈가 부족한 상태에서 임플란트를 식립 시 제대로 고정을 하지 못할 뿐만 아니라 염증질환을 일으키게 됩니다. 이런 이유로 임플란트 식립 시 뼈가 부족할 경우 상악은 상악동거상술, 하악은 뼈이식 임플란트 수술을 진행합니다. 특히 노화나 *치주질환으로 인해 치아를 상실하게 되었다면 보편적으로 치아를 둘러싸고 있는 치조골의 상태가 좋지 않습니다.  치아가 발치되면 뼈가 어느 정도 차는 것이 일반적이지만 치주질환에 이환되어 상실된 치조골은 발치할 때의 상태에 따라 회복되는 정도가 다르며 치아를 둘러싸고 있는 벽들까지 뼈가 녹아 상실된 경우에는 자연회복의 결과가 좋지 않습니다. 이러한 경우 상실한 치아 부위에 임플란트를 식립 하기위해 치조골을 회복시켜주는 목적으로 뼈이식을 통해 치조골을 재형성 시켜주어야 합니다. 

*치주질환은 잇몸을 녹아내리게 하는 질병입니다.

01  치조골이 부족한 상태일 때

02  잇몸뼈를 이식합니다.

03  동시에 임플란트를 식립하거나 경우에 따라 수개월 기다립니다.

04  임플란트가 완성됩니다.

뼈이식 재료


본인 즉 자신의 뼈

사람의 뼈를 가공한 이식재

동물 뼈 대부분 소뼈 사용

인공적 합성으로 만든 뼈


뼈이식 재료로 자신의 뼈(자가골)가 위험성이 가장 적습니다.

하지만 채취하는데 있어 통증, 어려움이 있어 쉬운 과정이 아닙니다.

이에 따라 다른 이식재를 사용하지만 자가골보다는 감염에

취약하다는 단점이 있습니다. 퍼펙트치과는 인간의 뼈와

유사성이 높은 푸르고바이오로직스의 골이식재를 사용합니다.

PERFECT DENTAL CLINIC

Purgo 천연 골이식재 사용

임플란트 시술에서 매우 중요한 골이식재

푸르고바이오로직스 골이식재 THE Graft™는

인간의 뼈와 유사성이 높아 뛰어난 생체적합성을 자랑하며

특허 받은 바이러스 불활성화 공정 기술 덕분에

잠재적인 감염 또는 면역 반응이 원인이 될 수 있는

유기 성분이 없어 안정성이 높은 천연 골이식재입니다.


뼈이식 임플란트 치료증례

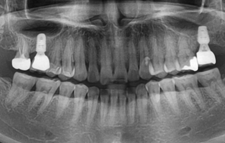
40대 여성 뼈이식 임플란트


초진 방사선 사진

신경치료를 잘 했음에도 염증이 크게 생겼고 뿌리의 대부분을 염증이 차지하고 있어서 발치를 할 수밖에 없었습니다. 하지만 환자분께서 당분간 타지역에 가야해서 당장은 진행하기 어려운 상황이라고 하셨고, 발치는 타치과에서 진행하기로 했습니다. 본원에서는 환자분께 발치하면서 뼈이식을 함께 하시는게 좋고, 뼈이식이 필요한 이유를 설명드렸습니다. 이후 6개월 뒤 본원에 내원하셨습니다.


→ 타 병원에서 발치 후 6개월 뒤

검사해보니 사진 속 동그라미 안에 뼈가 부족했습니다. 여쭤보니 발치만 하고 뼈이식을 하지 못했다고 하셨습니다. 임플란트를 위해서는 임플란트 주변으로 뼈가 1.5mm 정도가 필요합니다. 지금은 임플란트를 심더라도 바깥쪽에 뼈 이식을 동반해야 하거나 안쪽으로 심게 되는데 그렇게 되면 나중에 보철을 올릴 때 방향이 좋지 않아 불편하게 됩니다.


→ 26번 치아 CT

상악 좌측 구치부 안에 뼈가 부족한 검은 자리가 보이지만 수술 하면서 염증을 제거하고 인공뼈를 이식한다면 좋은 결과가 있을 것으로 예상되었습니다.



본문의 이해를 돕기 위해 환자분의 동의를 얻어

의료법 제 23조, 제 56조에 의거하여 게재합니다.

수술 후 염증, 출혈, 감염 등 부작용이 발생할 수 있습니다.



염증으로 잇몸뼈가 많이 녹았다면

발치와 동시에 뼈이식을 하는 것이 좋으며,

뼈이식 없이 발치만 할 경우

오래 기다려도 뼈가 온전히

차오르지 않는 경우가 종종 있습니다.

그 이유는 뼈가 자라기 전에 그 자리를 잇몸의 살이 먼저 차지하기 때문입니다. 뼈이식을 할 때에는 이런 현상을 방지하고자 인공뼈 위에 콜라겐 차폐막을 넣어서 독립적인 공간 안에서 뼈가 영글도록 하기 때문에 발치만 하는 것보다 신생골이 형성에 유리합니다. 발치 후 뼈가 거의 다 만들어 지기를 기다리는 기간은 보통 5~6개월입니다. 이후 임플란트를 하고 다시 2~3개월 정도 기다린 뒤 치아머리 부분인 보철을 올려 마무리하게 됩니다. 발치와 동시에 임플란트 수술과 뼈 이식을 하는 경우 임플란트 보철 완성까지 3~4개월 정보 밖에 소요되지 않습니다. 따라서 발치와 동시에 식립하는 것보다 기다렸다가 임플란트 수술을 하는 것이 기간이 더 오래 걸리는 것은 사실입니다. 발치 후 기다렸다가 식립을 하는 경우는 어쩔 수 없는 경우로 뼈의 양이 부족해서 즉시 식립을 못하는 경우 필요로 하게 됩니다. 상당히 많은 환자분들께서 "발치 후 얼마나 있어도 되나요?"라고 문의하십니다. 특별한 케이스가 아니면 보통 6개월 이상이라면 대부분 자연적으로 생길 수 있는 뼈는 다 생겼다고 보고 치과에서 정밀한 검사를 통해 골 밀도와 골의 크기를 측정하여 임플란트가 가능한지 검사해 보시는 것이 좋습니다.

mobile background
PROMOTION


임플란트 비용안내

Address

서울특별시 강남구 테헤란로4길 5, 해암빌딩 4층

역삼동 824-17 해암빌딩 4층 

02.544.7728

Surgery hours 

월 목 금 AM 10:00 - PM 7:00

화 / 수 AM 10:00 - PM 8:30
토 요 일 AM 10:00 - PM 4:00

일 요 일 AM 11:00 - PM 4:00 
점심시간 PM 1:00 ~ 2:00

*일요일 점심시간 없음, 대표원장 단독진료, 사전예약 필수